Firman convenio de colaboración universidades tecnológicas de Ciudad Juárez, Chihuahua; Tehuacán, Puebla y Oaxaca A
La Universidad Autónoma “Benito Juárez” de Oaxaca (UABJO) y la organización civil ECOASUR pusieron en
La Luna se está encogiendo como una manzana vieja, revelan imágenes de la agencia espacial
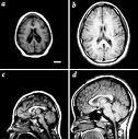
En México anualmente hay alrededor de 100 casos por un millón de adultos entre 25
